Research Publications

Peer-reviewed research contributions in medical imaging and machine learning

ISMRM 2022 Poster

Is T2 a biomarker of inflammation in normal appearing gray matter: Maybe!

An LPS-induced mouse model demonstrated that T2 MRI detects gray matter inflammation, though changes are too subtle for clinical use. This work was presented as a digital poster at the ISMRM 2022 annual meeting, showcasing our contributions to the field of neuroimaging and inflammation detection.

ISMRM 2023 Poster

Magnetic Susceptibility vs Relaxometry in the Characterization of an Animal Model of Multiple Sclerosis

This work found that R2* imaging detected significant differences in the cortex of EAE mice compared to controls, while quantitative susceptibility mapping (QSM) showed no such differences. These results suggest that R2* may be more sensitive to certain pathological changes and could serve as a complementary tool to QSM analysis. This study was presented as a digital poster at the ISMRM 2023 annual meeting.

ISMRM 2023 Oral Presentation

A Correlational Study of Changes in Behaviour and MRI Measures in the CNS in the EAE Mouse Model of Multiple Sclerosis

This study found increased R2*—an MRI marker of hypoxia—in the cortex of EAE mice, alongside reduced cerebral blood flow (CBF) in both inflammatory and autoimmune models, suggesting that hypoxia may be linked specifically to autoimmune-mediated damage in MS. This work was presented as an oral talk at the ISMRM 2023 annual meeting.

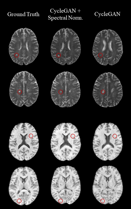
ISMRM 2024 Poster

Overcoming the missing data challenge in clinical imaging using CycleGAN based on brain MRI in Multiple Sclerosis

This study evaluated CycleGAN models—with and without spectral normalization—for generating missing MRI sequences in MS, showing improved performance with spectral normalization, especially under inconsistent scan quality. This work was presented as a traditional poster at the ISMRM 2024 annual meeting.

ECTRIMS 2024 ePoster

Deep learning methods predict disease progression occurred over 5 years for individuals with secondary progressive multiple sclerosis

This study used deep learning models, including ResNet50, to predict 5-year progression in secondary progressive MS from routine MRI, achieving strong performance despite a small sample size. This work was presented as an ePoster at ECTRIMS 2024 and published in Multiple Sclerosis Journal.

IUBDC 2024 ePoster

Quantifying childhood trauma: Causal machine learning approaches to mental health outcomes

This study used causal machine learning methods to quantify the impact of childhood trauma on mental health outcomes, demonstrating the potential of these techniques in understanding complex relationships between early life experiences and long-term psychological well-being. This work was presented as an traditional poster at the IUBDC 2024 conference.